Conheça 4 projetos que usam inteligência artificial do Google para ajudar a sociedade:
Prevenção do desmatamento ilegal na Amazônia
O projeto da Rainforest Connection utiliza celulares usados e inteligência artificial para detectar sons de motosserras ou ruídos suspeitos e alertar as autoridades que policiam a área.
Entender as origens do sistema solar
Para isso, Ari Silburt, estudante de PhD na Penn State University, usa Machine Learning para encontrar e mapear crateras na lua. Até agora, já foram identificadas mais de 6.000 novas crateras.

Saber se a sua planta está doente
As alunas do ensino médio Shaza Mehdi e Nile Ravenell criaram um app com TensorFlow para reconhecer se sua planta está doente. Shaza também criou outro app parecido para diagnosticar doenças de pele.

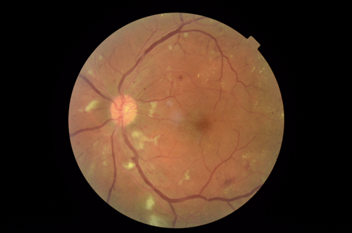
Diagnosticar doenças
Com a tecnologia o Dr. Jorge Cuadros pode diagnosticar com antecedência casos de retinopatia diabética (RD), ajudando a prevenir a cegueira precoce em pacientes diabéticos, além de determinar os riscos de doença cardiovascular com analise de imagens a partir de um modelo de aprendizagem profunda.

✨ Curtiu este conteúdo?
O GDiscovery está aqui todos os dias trazendo informações confiáveis e independentes sobre o universo Google - e isso só é possível com o apoio de pessoas como você. 🙌
Com apenas R$ 5 por mês, você ajuda a manter este trabalho no ar e leva informação de qualidade para ainda mais gente!